当院の治療例

目立たない矯正

ライフスタイルに合わせた装置と治療法です。

当院では、患者さんのご要望を最大限に尊重ながら、きちんと治すために適した治療法をご提案いたします。
「仕事上、矯正装置を着けられない」「装置が目立つのが気になる」「矯正していることを知られたくない」
ご希望やご心配などございましたら、お気軽にご相談ください。

プラスチックブランケット
  • ほとんどの症例に適用できる
  • 他の装置に比べ費用負担が少ない
セルフ・ライゲーション・ブラケット
  • 他の装置に比べ痛みが少ない
  • 目立たない表側の装置
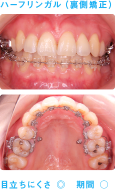
ハーフリンガル(裏側矯正)
  • 上あごのみ裏側の装置
    (下は表側の装置)
  • フルリンガルより費用負担が少ない
フルリンガル(裏側矯正)
  • 上下あごとも裏側の装置
  • 装置はほぼ見えない
  • 表側矯正に比べ治療期間が長い
マウスピース型矯正装置
  • 取り外し可能
  • 適用できない症例がある

結婚式に向けた矯正

大切な日を、
最高の笑顔で。

結婚式はどなたにとっても一生の思い出に残る一日です。
自分自身のことを振り返ってみても、この日へかける思いは強く、素敵な一日にしたいという願いでいっぱいでした。人生でこの日ほど、たくさんの写真を撮られることもないと思うので、少しでも美しくきれいでありたいという思いは、すべての女性に共通なのではないでしょうか。(もちろん花婿さんにも共通ですね。)素敵な笑顔で当日を迎えられるよう、矯正治療のスケジュールを組んでいきます。

結婚式当日まで日がない場合は、装置の一時撤去をして、一連のイベントを終えられてからの治療再開となります。
その他、心配なことやご要望があれば、治療開始前にご相談ください。

部分矯正

前歯の軽度のでこぼこは、見た目が大きく変わります。

全部の歯の矯正は費用的や時間的に無理でも「ここだけが気なるので治したい」という方もいらっしゃるかと思います。特に前歯の軽度のでこぼこは、治療されると見た目が大きく変わって喜ばれます。
また、かぶせ物(クラウンやブリッジ、インプラントなど)をする際に歯を動かしてからかぶせ物を入れたほうが、壊れにくく、見た目もきれいに仕上がることがあります。

全体の矯正とは違って制限も多く、治療できるかどうかの判断が難しいこともありますので、ぜひ一度ご相談ください。

MFT-歯並びを悪くする原因から改善

歯並びを悪くする原因のひとつである「唇や舌のクセ」を改善。

歯並び・かみ合わせを悪くする原因のひとつに「唇や舌のクセ(舌癖)」があります。せっかく矯正歯科治療をしても、その原因を改善しなければ、歯並びが元に戻ってしまうのです。

矯正治療専門の歯科医院でも、舌のトレーニングを行わない医院や、徹底した分かりやすいトレーニングをしない場合は、舌のクセが改善せず、再度かみ合わせや歯並びが不安定になることがあります。

そのため、矯正歯科治療と同時に、正しい舌の動きやお口・お顔の筋肉の動きを身につけることが必要不可欠です。そのトレーニングプログラムが、MFT(筋機能療法)です。

MFT(筋機能療法)のメリット

1.
矯正歯科治療の効率が上がる。
2.
治療した直後のキレイでバランスの良い状態を保ちやすい。(後戻り防止)
3.
お顔のアンチエイジングに効果が期待できる。

矯正中の虫歯・歯周病予防

矯正中も絶対に虫歯にしないために。

せっかく矯正治療で歯並びやかみ合わせを治しても、虫歯だらけで歯肉は腫れ上がっていたり、歯石がついてしまっていては台無しです。
当院では徹底した予防対策で、治療中も快適に過ごしていただけるよう努めています。

ブラッシング指導

矯正中はケアが大切です。効果的なブラッシングをご指導します。

ケアグッズプレゼント

矯正中の歯のお手入れに便利なグッズを差し上げています。

歯のクリーニング

ご来院時には歯のクリーニングをしっかりと行います。

レーザー虫歯検出装置

虫歯をごく初期の段階で検出可能です。(ダイアグノデント)

初期虫歯はその場で治療

矯正治療と虫歯治療が一つの院内で受けられますので、安心です。

矯正の痛みの軽減・できる限り歯を残す方針

穏やかな力で歯を動かしていきます。

当院では矯正治療中の痛みの軽減を心がけております。

痛みは個人差が大きく、また旧来の矯正歯科のイメージから、不安に感じている方もたくさんいらっしゃると思います。
痛みの原因は、歯を支えている「歯根膜」にかかる圧力が原因です。矯正歯科治療では、「歯根膜」に圧力をかけて歯を動かすのですが、その力が穏やかだと強い痛みは感じません。

ワイヤー:とても柔らかい形状記憶合金ワイヤーを使用して、痛みを軽減しています。通常と違い、歯を強く締めつけません。

ブラケット:「セルフ・ライゲーション・ブラケット」は通常の矯正装置のように直接ワイヤーを縛りつけないので、摩擦が少なく優しい力で歯の移動が可能です。

マウスピース型の矯正装置:「マウスピース型矯正装置」はワイヤーを使わないので頬粘膜や唇にあたって痛むことがありません。

将来に、健康な歯をできるだけ多く残すために。

「生涯に渡ってできる限り多くの歯を保存すること」が当院の治療方針です。矯正治療後の見た目の仕上りはもちろん、長期間安定するかみ合わせにすることで、健康な歯を長持ちさせることができます。

矯正歯科治療では、後戻りしにくい安定した歯並び、質の高い仕上りを得るために、抜歯したほうがお口の健康にとって良いケースがあります。その際でも抜く本数を最低限に留め、また診断時に抜歯する根拠を十分にご説明いたします。